instagram

症例紹介

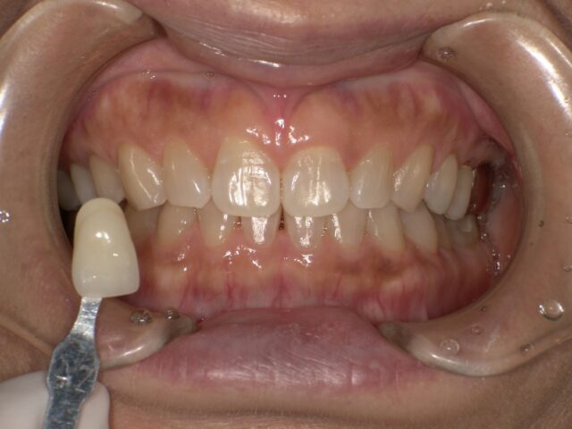
オフィスホワイトニング(60代女性)

  • before
    Before
  • after
    After
通院時の年齢 60代
性別 女性
治療内容 オフィスホワイトニング
治療期間・治療回数 治療期間:1日
来院回数:1回(着色および歯石の除去を行ない、ホワイトニングを行ないます)
治療費用 33,000円
リスク・副作用 一時的に歯が滲みることがあります。
※歯の白くなりやすさには個人差があります。